Results Gallery

We don’t just say we can help. Look at the real results we’ve made for our patients!

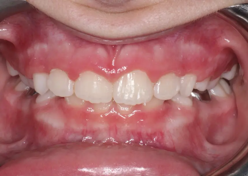
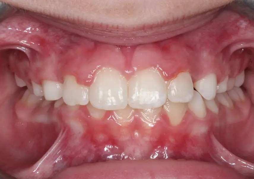
Before Intraoral Centre Tooth Photo After Intraoral Centre Tooth Photo
Broader Smile • Crowding • Invisalign • Overbite – Class 2 • Teenager
Before Intraoral Centre Tooth Photo After Intraoral Centre Tooth Photo
Anterior Crossbite • Children – Phase 1 (Ages 7-11) • Underbite – Class 3
Before Intraoral Centre Tooth Photo After Intraoral Centre Tooth Photo
Children – Phase 1 (Ages 7-11) • Posterior Crossbite
Before Intraoral Centre Tooth Photo After Intraoral Centre Tooth Photo
Children – Phase 1 (Ages 7-11) • Crowding • Invisalign
Before Intraoral Centre Tooth Photo After Intraoral Centre Tooth Photo
Children – Phase 1 (Ages 7-11) • Posterior Crossbite
Before Intraoral Centre Tooth Photo After Intraoral Centre Tooth Photo
Anterior Crossbite • Children – Phase 1 (Ages 7-11) • Underbite – Class 3
Before Intraoral Centre Tooth Photo After Intraoral Centre Tooth Photo
Anterior Crossbite • Children – Phase 1 (Ages 7-11) • Underbite – Class 3
Before Intraoral Centre Tooth Photo After Intraoral Centre Tooth Photo
Anterior Crossbite • Children – Phase 1 (Ages 7-11) • Underbite – Class 3
Before Intraoral Centre Tooth Photo After Intraoral Centre Tooth Photo
Anterior Crossbite • Children – Phase 1 (Ages 7-11) • Underbite – Class 3